“一针下去,肿瘤就没了”,消融手术是啥?专业医生为您解答!
2021-05-13 16:41 来源:  北京号
关注

“一针下去,肿瘤就没了!真神奇!”

前不久,来地坛医院复查的王大爷提起半年前的肝癌消融手术还连连称赞。

据了解,74岁高龄的王大爷患慢乙肝30多年,1年多前被查出肝癌。由于病灶位置特殊,手术风险极高,被多家医院建议药物保守治疗。去年10月,辗转三家医院的王大爷在北京地坛医院肿瘤诊治中心肿瘤内科接受了射频消融联合酒精消融(PEI)微创手术治疗。

据王大爷的主治医生、肿瘤内科副主任医师孙巍介绍“手术很成功,目前两次复查均没有复发迹象。”

两种消融搭配来

如何一针“刺死”肿瘤君?

目前治疗肝癌最有效的方法包括手术切除和消融。

但考虑到王大爷年事已高,还有冠心病、糖尿病等多种并发症,所以手术风险和创面愈后问题不得不考虑。

在肿瘤诊治中心主任李威教授及肿瘤内科主任陈京龙教授的带领下,医生团队对王大爷的情况进行了分析和讨论,一致认为采取消融手术最为恰当。

因为消融手术属于微创手术,可以最大限度减少手术创伤对患者带来的伤害。大家迅速制定了治疗方案,考虑采取酒精消融(PEI)联合射频消融的手术方案。之所以采取两种消融技术相结合的手段,是为了让肿瘤彻底灭活,达到根除效果。

据了解,消融手术是一种微创性肿瘤原位治疗技术,即借助于影像技术引导,将刺针直接插入肿瘤内,通过物理或化学途径最终达到灭活软组织及肿瘤的效果。

去年十月底,王大爷在家人陪伴下来到地坛医院肿瘤内科。经过术前准备,手术开始了!

在CT引导下,孙巍仔细迅速地将引导针插入,在肿瘤的位置注入无水酒精和造影剂的混合物。很快,酒精均匀扩散到整个肿瘤内。而肿瘤的轮廓也在造影剂的作用下更清晰的显现,方便下一步的射频消融。

接下来就是更为关键的“一针”——射频消融。射频电波使肿瘤组织的极性分子产生高速震荡,相邻分子互相摩擦和撞击产生高达90~100℃的热量。同时,射频消融还可使肿瘤组织的血管凝固,有利于防止肿瘤转移。在高热量冲击波的作用下,王大爷的肿瘤很快发生热凝固坏死。

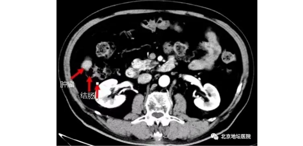
肝癌“跑到”肠子上

手术禁区如何破解?

其实,王大爷这个手术的难度相当大。因为肝癌肿瘤病灶位置十分特殊,位于肝脏右后叶边缘,与升结肠紧紧贴在一起,这通常是消融手术的禁区。因为消融产生的热量很有可能把肠子“烫”穿孔,这也是几家三甲医院都建议王大爷保守治疗的原因。

所以,孙巍在进行消融手术前,还进行了一步对手术十分关键的操作——局部水隔离!

所谓水隔离,就是在王大爷肝脏与升结肠间注入一定量的水,保护肠道不受损害。因为用水较高的压力,可以把肠管和肝脏上的肿瘤隔离开来,使消融所产生的热量不会危害到升结肠。

水隔离是目前在消融手术中非常有用的一个办法,它能保证摧毁肿瘤的同时,而不伤及正常的组织,达到手术安全的目的。

最终,在射频、酒精消融这两种微创手术的“强强联合”,加上局部水隔离的“神助攻”下,王大爷的肝癌得到了根治。经过半年的随访,也没有复发的迹象。

那么,除了创伤小、恢复快、效果彻底。

消融手术治疗肿瘤还有哪些好处呢?

消融手术到底适不适合你?

慢性肝病患者如何避免肝癌呢?

孙巍医生为你解答!

消融手术可以完全根治肿瘤吗?

消融手术目前已经成为了除了外科手术外,又一种根除癌症病灶的根治性手段。

只不过肿瘤还在患者体内,但其实那已经是一个完全坏死的病灶,对人身体健康不会再构成任何威胁。

我适合做消融手术吗?

目前中国相关指南给出的标准是≤5公分的肿瘤可以考虑使用消融手术。

孙巍表示,随着术者水平的提高,一些大于5公分的肿瘤依然可以使用消融技术。消融手术比较适合身体耐受比较差、手术愈合比较慢的患者。

对于肝癌患者,如果外科手术容易导致肝功能衰竭的人群,也建议采取消融手术。

术中和术后我会感觉到疼吗?

术中的疼痛感微乎其微。

消融手术大部分会采取局部麻醉,因此在术中患者几乎没有感觉,少部分患者可能会感受到轻微的热感。术后几个小时会有局部疼痛感,大部分患者术后2-3天疼痛感逐渐消失。

我怎么才能尽早发现肝癌?

如果您是一个慢乙肝、肝硬化等具有肝癌高危因素的肝病患者,推荐每半年进行一次B超、钾肽蛋白、肝功能检查。

孙巍提示,肝病患者定期随访很重要,因为肝癌早期症状不明显,隐匿性很强,所以不能通过症状来判断病情。

肝癌治疗后还会复发吗?

孙巍提示,肝癌有别于其它肿瘤,因为肝硬化一直存在,所以即便既有肿瘤已经被彻底杀死,但依然会有发生新肿瘤的可能性,新肿瘤与既往肿瘤可能一点关系都没有。

所以肝癌患者或高危人群一定要定期随诊复查。

巩阳/文

专业审核:肿瘤内科主任陈京龙 、副主任医师孙巍


作者:

北京医管

打开APP阅读全文
特别声明:本文为北京日报新媒体平台“北京号”作者上传并发布,仅代表作者观点,北京日报仅提供信息发布平台。未经许可,不得转载。
APP内打开