北京老年医院心内科应用ADR技术救治冠脉慢性完全闭塞患者
2022-01-27 17:10 来源:  北京号
关注

冠状动脉慢性完全闭塞(chronic total occlusion, CTO)是指冠状动脉100%闭塞且闭塞超过3个月的病变。

在常规冠脉造影检查中,大约有25%~30%的患者可见慢性完全闭塞,且往往同时伴有血管迂曲、钙化等不利因素导致治疗难度大,手术并发症发生率高。CTO介入治疗平均成功率大约为40%~60%,是目前冠脉介入治疗面临的最大难题,也是介入治疗技术中最具有挑战性的部分。

目前CTO 介入治疗主要有三种手段,正向导丝升级(AWE)、逆向(Retrograde)以及正向内膜下重回真腔(ADR) 技术,基于不同病人情况对三种技术进行科学运用是手术成功的关键。

北京老年医院心内科介入团队近期在王健主任医师、罗智副主任医师的带领下,继采用逆向技术开通右冠疑难闭塞病变之后,于2022年1月20日应用正向内膜下重回真腔(Antegrade Dissection Re-entry,简称ADR) 技术,仅用时90分钟为一位患者成功开通闭塞已久的右冠状动脉。

这标志着北京老年医院心内科已常规开展高难冠脉闭塞病变的介入治疗,能够更好地服务广大患者。

病例回顾

患者,男,56岁,后背痛5年,因血糖控制不佳就诊北京老年医院内分泌科,完善冠状动脉增强CT提示钙化斑块及存在狭窄病变转入心内科,拟行冠状动脉造影检查。

危险因素:高血压3级,2型糖尿病,高脂血症,吸烟史。

辅助检查:超声心动图提示LA30mm,LVEDD50mm,EF73%;

BNP63pg/ml;心肌酶学阴性;HbA1C7.1%;TC5.65mmol/L,LDL4.32mmol/L,TG1.87mmol/L,肌酐106.5umol/L,余肝功、血凝等未见异常。

入院诊断:冠心病,不稳定性心绞痛

治疗:阿司匹林、替格瑞洛抗板,他汀联合依折麦布降脂,降压、降糖、控制心室率等治疗。

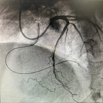
CAG分析及策略制定:冠状动脉造影提示右冠近段闭塞:

患者右冠近段齐头闭塞、闭塞段长、伴钙化,侧枝循环血管条件差,考虑逆向成功率较低。

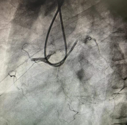
PCI过程:术中首先尝试正向开通(AWE),逐步升级导丝,均多次进入内膜下,反复尝试不能送入远端真腔,王健主任果断启动正向ADR技术,利用Corsair微导管于右冠近段制造正向夹层,使用专用器械Stingray球囊,Gaia Third导丝穿刺,

成功通过血管内膜下重新进入远端血管真腔,经过多体位投照、逆向造影均证实为真腔,顺利开通闭塞病变。

正向造影可见右冠全程弥漫狭窄病变

序贯植入4枚第二代药物洗脱支架覆盖病变。

无术中并发症,手术完美收官。

利用传统技术(AWE或Retrograde)治疗CTO病变,平均每台耗时约2~3小时,高难度的CTO病变甚至需要5、6个小时。医生和患者在手术过程中不得不接受很高的辐射剂量,并投入巨大精力。

正向内膜下重回真腔(ADR)是一种借助局限的内膜下假腔以开通闭塞段病变的技术,近年来在临床治疗中逐步得到推广。

该CTO新策略及新技术极大地简化了手术流程,缩短了手术时间,提高了手术成功率、且显著降低医患的辐射剂量。

随着对ADR等CTO-PCI新技术的常规开展,北京老年医院心内科介入水平将再上一个新的台阶,为更多冠心病患者带来福音。

作者介绍:贾丁:北京老年医院心内科主治医师,中国老年学和老年医学学会老年病学分会青委会委员。

擅长:冠心病、急性心肌梗死、心力衰竭、高血压等心血管疾病诊治。对老年心血管疾病的诊治及冠心病的介入治疗方面有丰富的临床经验。


作者:

北京老年医院

打开APP阅读全文
特别声明:本文为北京日报新媒体平台“北京号”作者上传并发布,仅代表作者观点,北京日报仅提供信息发布平台。未经许可,不得转载。
APP内打开