医学人文 | 恶性骨肿瘤凶险侵犯 多学科协作妙手排雷
2022-10-27 11:28 来源:  北京号
关注

陈女士今年53岁,4个多月前无意间发现自己的左肩背部长出了一个鸡蛋大小的包块,偶有疼痛不适感。起初并未在意,但包块逐渐增大,左侧颈肩部活动逐渐受限,当地医院就诊检查发现左侧第二肋破坏并向内外膨出包块,累及颈椎旁占位病变、同时向胸腔内突入巨大包块。病变周缘复杂的解剖结构使当地医院犯了难,更揪心的是,随着肿物不断向胸腔内生长,陈女士出现了胸闷、憋气的症状。意识到疾病的严重性,陈女士慕名来到北京积水潭医院。

在骨肿瘤科专家门诊,刘巍峰主任医师接诊了陈女士。在仔细询问病史、查体以及完善了相关检查后,诊断为左侧第二肋骨软骨肉瘤累及第一和第三肋,并向胸椎侧、胸腔内和胸腔外颈椎旁侵犯,需手术切除,并且需要开胸手术+锁骨下血管探查+锁骨下臂丛神经探查。而软骨肉瘤是一类间叶来源恶性骨肿瘤,治疗方法主要依靠手术,且安全的外科边界尤为重要。

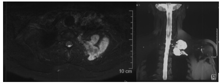
病变部位MRI

考虑到陈女士的病情在近2个月内进展明显,症状持续加重,孙扬主管医师尽快为病人安排住院。全科查房中,牛晓辉、张清、郝林、鱼锋等资深专家提出治疗建议,治疗组讨论并制定了第1-3肋骨肿瘤整块切除,锁骨下血管+臂丛神经探查,开胸肺脏探查备受累肺叶楔形切除的手术方案。因肿瘤后方为肩胛骨,上方为锁骨及胸廓出口,肿瘤向前凸入胸腔可能与肺存在粘连,病变区视野暴露即存在一定困难,且一旦血管损伤大出血及臂丛损伤导致的上肢功能障碍,都将带来严重后果。此外,切除第1-3肋后,为避免发生胸廓软组织塌陷,还需进行胸壁重建。基于此,针对手术难度大、风险高、需要多学科协作进行。
病变位于第2后肋,其后方为肩胛骨,并与锁骨下血管、臂丛神经解剖毗邻

为确保手术顺利,术前组织了多学科团队会诊:骨肿瘤科刘巍峰主任医师、杨发军副主任医师、孙扬主治医师、手外科王树锋主任医师、血管外科贾伟副主任医师、胸外科张强主任医师、宁少南主治医师、麻醉科及ICU医师。其中,手外科王树锋教授是国际著名臂丛神经专家。

首先,骨肿瘤科刘巍峰主任医师、杨发军副主任医师、手外科王树锋主任医师共同开始显露病变部位。手术采取沿肩胛骨脊柱缘向上走行的斜行切口,分离肩胛骨浅层的肌肉,将肩胛骨向前方掀起,显露肋骨病变,并保护锁骨下血管及臂丛神经。

从外侧确定了肿瘤范围后,胸外科宁少南主治医师开始进行胸腔镜探查、分离胸腔内粘连。
最终,手术治疗组在上方和前方很好保护了大血管,臂丛神经,前方分离开肺脏,内侧分离保护好C8及T1神经根出口,分别从两侧切断第1-3肋,连同肿瘤一并整块切除。历时6小时的手术在团队的共同努力下,有惊无险地拆弹成功!
多学科联合手术,手外科王树锋主任医师(左1)、骨肿瘤科刘巍峰主任医师(左2)、骨肿瘤科杨发军副主任医师(左3)、胸外科宁少南主治医师(右1)术后,陈女士转入ICU病房监护治疗。第2天顺利脱机拔管,转回骨肿瘤科普通病房。在全体医护人员的精心护理下,陈女士术后恢复顺利,伤口周围肿胀逐渐消退,从卧床、坐起到下地行走,精神状态日益焕发,脸上重新浮现笑容。“我现在觉得舒服多了,胳膊活动都没问题,之前谈话时候交待的那些风险并发症都没出现,衷心感谢积水潭医院的医护人员”。术后1周余,陈女士顺利出院。

患者术后左侧患肢功能活动正常

北京积水潭医院骨肿瘤科自建科以来,尤为重视多学科协作,从临床影像病理三结合诊断,到骨肿瘤外科、肿瘤内科,放疗科综合诊治,以及骨肿瘤与手外科、矫形骨科、烧伤整形、脊柱外科、创伤骨科等亚专科协作手术,在提高学科诊治水平基础上,脚踏实地为患者获益带来福音。

文图丨骨肿瘤科 孙杨 殷悦涵


作者:

北京积水潭医院

打开APP阅读全文
特别声明:本文为北京日报新媒体平台“北京号”作者上传并发布,仅代表作者观点,北京日报仅提供信息发布平台。未经许可,不得转载。
APP内打开