提到痴呆症,大部分人第一反应是阿尔茨海默病,其病程进展缓慢,从出现认知功能障碍到发展为痴呆,往往持续多年;而快速进展性痴呆顾名思义就是认知功能障碍进展速度快,其疾病谱与传统的缓慢进展痴呆如阿尔茨海病有很大不同。
引起快速进展性痴呆(rapidly progressive dementia,RPD)原因有很多,例如血管性(vascular,V) 、感染(inflammatory,I)、中毒-代谢(toxic-metabolic conditions,T)、自身免疫性(autoimmune encephalopthies,A)、肿瘤(malignancies,M)、医源性(iatrogenic/Idiopathic,I)、神经系统变性病(neurodegenerative,N)和系统性(systemic,S)等,即“VITAMINS”原则。
进展多快才可以称为快速进展性痴呆呢?并无严格的、公认的标准:6个月、1年、2年...
目前采用较广泛的RPD标准:在1~2年时间内疾病从出现首发症状发展到痴呆程度的,可称为快速进展性痴呆。
近日,北京市垂杨柳医院神经内科收治两名快速出现认知功能下降的患者,完善相关检查后提示克-雅病可能性大,该病是引起快速进展性痴呆的常见原因,今天我们就来科普一下克-雅病。
1、什么是克-雅病?
克-雅病(Creutzfeldt - Jakob Disease,CJD),既往又称为亚急性海绵状脑病或皮质-纹状体-脊髓变性,是一种罕见的致命性中枢神经系统退行性疾病,具有严重致残性、无法治愈的朊蛋白病。主要是由于具有感染性的朊蛋白(PrP)错误折叠导致中枢神经系统发生广泛变性,主要累及患者大脑皮质、基底节和脊髓等结构。其以散发型最常见(约占所有类型的85%)。
2、CJD的临床表现
快速进展型痴呆是最常见的早期临床表现,通常在发病后几周或几个月内发展成完全的痴呆综合征,还可出现肌阵挛、小脑性共济失调、视觉障碍、锥体系/锥体外系功能障碍、无动性缄默等。散发型CJD发病年龄为55-75岁之间。
3、CJD的诊断
诊断方法主要包括临床症状观察、脑电图(EEG)检查、脑脊液(CSF)检测、磁共振成像(MRI)检查以及脑组织活检等。
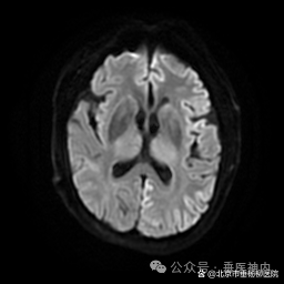
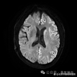
所有怀疑克-雅病诊断的患者,常规要进行脑脊液14-3-3蛋白检测;有条件的医疗机构,做脑脊液和(或)皮肤RT-QuIC检测。同时,血和脑脊液总tau蛋白、磷酸化tau蛋白/总tau蛋白比值有助于克-雅病的诊断及鉴别诊断。脑电图常出现特异性的周期性尖慢复合波。头核磁DWI相可见特异性地沿皮质沟回走行的带状和(或)双侧基底核区的异常高信号。
我科收治的两例患者脑电图一例是漫波背景,一例可见尖慢复合波,两例患者DWI影像均可见至少两个皮质区域沿皮质沟回走行的带状异常高信号,一例进行了脑脊液14-3-3蛋白检测,一例进行了血和脑脊液总tau蛋白、磷酸化tau蛋白/总tau蛋白比值检测,结果均高度提示患者为克-雅病可能性大。
典型脑电图表现:

典型头核磁结果:



典型脑脊液结果:


4、CJD的治疗与预后
快速进展型痴呆是最常见的早期临床表现,通常在发病后几周或几个月内发展成完全的痴呆综合征还可出现肌阵挛、小脑性共济失调、视觉障碍、锥体系/锥体外系功能障碍、无动性缄默等。散发型CJD发病年龄为55-75岁之间。
克-雅病虽然罕见,但因其病情进展迅速、预后极差,给患者及其家庭带来了巨大的痛苦和负担。了解克-雅病的相关知识,对于早期识别、诊断和预防具有重要意义。随着医学研究的不断深入,我们期待未来能够找到有效的治疗方法,为攻克这一疾病带来希望。
本文仅限于公益科普及学术交流,如有不适请尽快就医,文中部分资料来源于网络,侵删,谢谢!