
最近是呼吸道传染病高发期,大家身边有不少人都中招“甲流”了。无论是刚感染、还是刚痊愈,都要格外注意!
流感还能引起肺“发霉”?
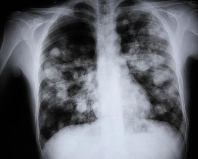
前段时间,今年52岁的朱先生因“胸闷气促7天”到医院就诊,诊断为甲流。
可经过一番治疗后,病情却不见好转,反而进一步加重,患者被紧急转至瑞金医院嘉定院区急诊就诊。
入院时,朱先生的病情非常危重,持续高热、急性呼吸衰竭、电解质紊乱、休克等,在抢救室紧急气管插管后,急诊科陆一鸣主任当机立断将患者紧急收入急诊重症监护室接受进一步治疗。
病人体重近300斤,当时血压在大剂量升压药物维持下也只有60/40mmHg,心跳高达150次/分,全身花斑,四肢湿冷,血糖22mmol/l,血气分析PH:6.9,提示严重酸中毒(正常值7.35~7.45),休克。
针对如此危重病情,主治医生迅速抓住当前主要关键点:糖尿病酮症酸中毒,感染性休克,甲型流感病毒性肺炎等,并启动目标导向性液体复苏,控制血糖,连续性血液肾脏替代治疗(CRRT),调节酸碱平衡等等综合治疗。同时进行脉搏指示连续心输出量监测(PICCO)和床旁心脏超声,监测心功能及指导液体复苏。

经过急诊重症监护室医护团队初步治疗,朱先生的酮症酸中毒、感染性休克有好转迹象,但患者病情仍然不容乐观:如何控制重症肺炎和急性呼吸衰竭等成为了主要矛盾。
陆主任在仔细分析病情和影像学检查后,高度怀疑朱先生可能合并侵袭性肺曲霉病感染,立即安排行床旁纤维支气管镜检查及肺泡灌洗液查病原体,终于揪出“真凶”——流感相关性肺曲霉病(IAPA),随后立刻针对该患者调整治疗方案,启动抗霉菌治疗。
在急诊重症监护室经过近1个月的治疗后,朱先生病情最后还是逐渐稳定下来,并康复出院。
肺也会发霉吗?
答案是——
会!而且这种发霉长毛
对肺部组织的破坏力极大
短期内可将肺部掏空
治疗起来尤为困难
什么是流感合并肺曲霉病?
曲霉菌是一种真菌,它被世界卫生组织列为一等致癌物质,其毒性是砒霜的68倍。它广泛存在于自然环境中的真菌,土壤、空气、腐烂的植被中都能找到它的身影。曲霉菌比较常见的可分为三种:烟曲霉菌、黑曲霉菌、黄曲霉菌,曲霉菌在临床上引起的感染称之为曲霉病。正常情况下,我们的免疫系统可以抵御曲霉菌的侵袭。
然而,当人体免疫力低下时,例如流感病毒感染后,曲霉菌就可能“趁虚而入”,破坏呼吸道纤毛细胞、侵袭肺部并迅速扩散,导致各种临床症状,对于健康有很大的危害甚至危及生命。
为什么流感患者容易合并曲霉菌感染?
1. 流感病毒损伤呼吸道黏膜,为曲霉菌的入侵创造了条件。
2. 流感导致免疫力下降,削弱了机体对曲霉菌的抵抗力。
3. 部分流感患者使用糖皮质激素,也可能增加曲霉菌感染的风险。
4.合并基础疾病的患者,包括免疫抑制状态以及慢性呼吸系统疾病、慢性肝肾疾病、糖尿病、实体肿瘤、血液系统肿瘤等基础疾病
流感合并曲霉菌感染有哪些症状?
流感合并曲霉菌感染的症状与普通流感相似,容易造成误诊漏诊。但如果出现以下情况,需高度警惕:
1.持续高热不退,常规退烧药效果不佳。
2.咳嗽加重,出现胸痛、呼吸困难等症状。
3.咳出带血丝或棕褐色的痰液。
4.出现鼻塞、流脓涕、面部疼痛等鼻窦炎症状。
如何预防流感合并曲霉菌感染?
1. 积极预防流感:接种流感疫苗,勤洗手,戴口罩,避免去人群密集场所。
2. 增强免疫力:保持充足睡眠,均衡饮食,适量运动。
3. 保持环境清洁干燥:定期开窗通风,避免接触发霉变质的物品。
4. 合理使用药物:避免滥用抗生素和糖皮质激素。
流感季当心“雪上加霜”
大家一定要注意防护
警惕流感合并曲霉菌感染
转发提醒!
来源:极目新闻、新闻坊、上海交通大学医学院附属瑞金医院、湖南省第三人民医院
编辑:李晓梅
编审:李雪
终审:周健军