5月1日是国际劳动节,在美好的假期中,很多医务工作者坚守在一线,护卫着大家的健康,我就是其中一员。但这天下午的经历,让我的劳动节更加充实,意义非凡。

当天下午急诊科收治了一位老年女性患者,她已剧烈胸痛半小时。 老人平时身体健康,否认高血压、糖尿病等疾病。她来急诊后,急诊科医生迅速为她做了一份心电图检查。
心电图提示胸前导联(V1-V6):J点压低1—3mm,ST段呈上斜型下移,随后T波对称高尖。
看到心电图后,急诊科医生立即请心内科会诊,正在值班的我接到电话便立即来到急诊科,现场患者心电图的异常改变引起了我的高度关注!

特征性心电图
凭着专业的敏感性,我高度怀疑该患者是De Winter综合征。该疾病风险极大,临床危害性与ST段抬高型心肌梗死(STEMI)相当,且容易误诊,需要紧急处理以避免心肌大面积坏死甚至猝死。患者需要立即手术,不凑巧的是,她的家属都不在身边。
时间就是心肌,时间就是生命!当务之急是必须快速地进行心脏介入手术开通血管。与远在济南的患者儿子电话沟通并征得其同意以后,我们迅速启动急诊绿色通道,将病人送至导管室。

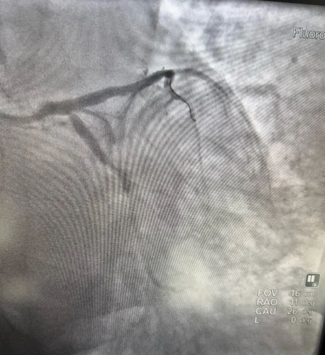
术前图
造影的结果正如我们预料的一样,前降支近端100%的闭塞。我们手术仅用时15分钟就快速地给病人开通了血管,植入了一枚支架。操作完成后,患者症状明显改善,心电图恢复正常,患者得救了。

术后图
看到病人转危为安,我们内心也充满了成就感。最后,我向所有在劳动节坚守岗位的劳动者致敬!祝所有劳动者节日快乐!
~~~什么是De Winter综合征~~~

De Winter综合征是一种特殊的心电图表现,提示左前降支(LAD)近段严重狭窄或闭塞,属于急性冠脉综合征(ACS)的一种特殊类型。
尽管其心电图特征不同于典型的ST段抬高型心肌梗死(STEMI),但临床危害性与之相当,需要紧急处理以避免心肌大面积坏死甚至猝死。
该综合征由2008年荷兰医生de Winter等人首次报道,他们在1532例左前降支近段闭塞的ACS患者中发现30例(约2%)未出现典型STEMI的ST段抬高,而是表现为特殊的ST-T改变。
心电图特征:胸前导联(V1-V6):J点压低1—3mm,ST段呈上斜型下移,随后T波对称高尖。 aVR导联:ST段轻度抬高(≥0.5mm)。QRS波:通常不增宽或轻度增宽,部分患者可见R波上升不良。多为左前降支近段完全或次全闭塞,易被误诊为NSTEMI而延误治疗。
治疗原则—紧急血运重建:需按STEMI等危症处理,首选急诊PCI(经皮冠状动脉介入治疗),开通闭塞血管。
总结:De Winter综合征是ACS中的“隐形杀手”,其心电图表现隐匿但危险极高。对胸痛患者伴上述心电图特征者,应立即启动冠脉介入治疗流程,避免因误诊导致不可逆心肌损伤。
专家介绍

熊永红
心血管内科主任医师
硕士研究生、党支部书记,心内二科主任,学术带头人。
北京市先进工作者
学术任职:
中国老年保健协会心脑血管疾病防治管理专业委员会委员
中国医促会心血管健康医学分会委员
中国中药协会合理用药专业委员会专家组成员
丰台区医疗专业质量控制和改进专业委员会委员
从事心血管内科临床及科研工作20多年,具有丰富的临床经验。专业特长冠心病,年冠脉介入手术量近2000余台,擅长各种复杂冠心病的介入治疗。在核心期刊上发表多篇论文,曾获丰台区卫生系统“科技新星”称号。
来源 丰台区融媒体中心
丰台时报
供稿:丰台医院心内科二病区
编辑 原梓峰
审核 赵宇航