近日,心血管内科一病区于凝主任团队成功为一名前降支近段重度钙化老年患者实施冠状动脉旋磨联合冲击波球囊术,顺利开通病变血管,为患者重启“心”希望。
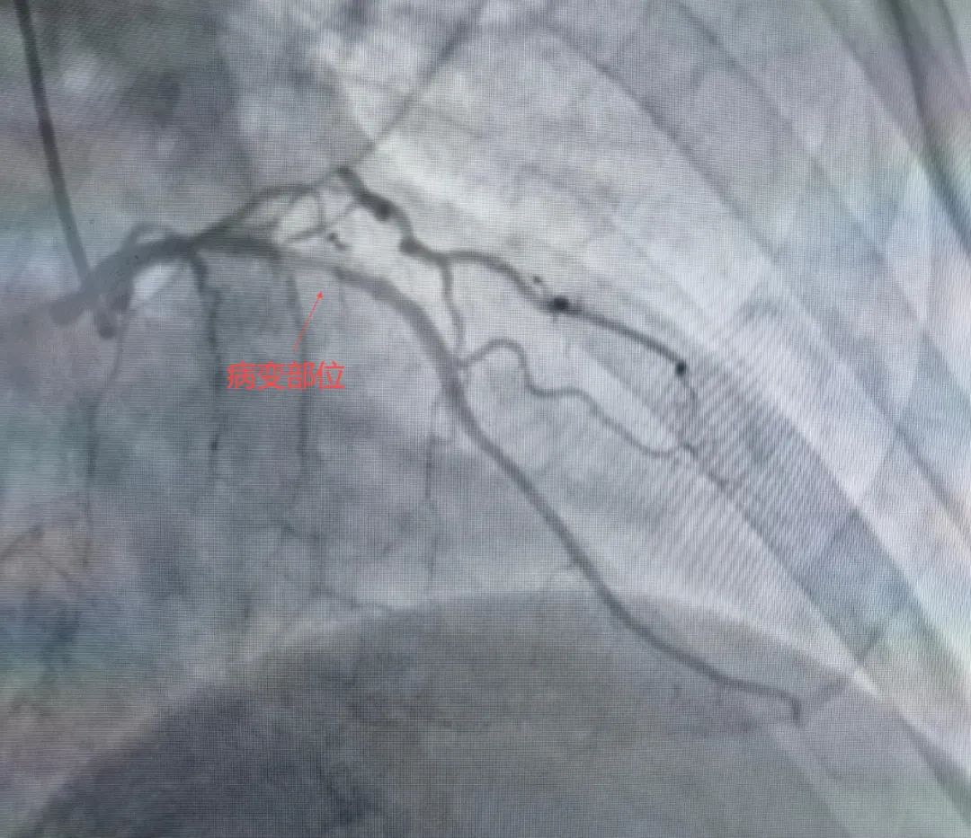
65岁的赵大爷因反复胸闷胸痛入院,冠状动脉造影显示其前降支近段存在重度钙化狭窄,血管钙化程度评分达III级(Nakamura分级),管腔狭窄超过90%。此类病变如同血管内“顽石”,常规介入器械难以通过,传统球囊扩张术无法使血管充分扩张,极易导致夹层等风险,手术难度和风险极高。
针对赵大爷的复杂病情,团队进行了充分术前讨论,决定采用“冠状动脉旋磨+冲击波球囊”的组合方案,最终成功置入支架,整个手术过程顺利,免除了患者外科开胸搭桥的痛苦。




冠状动脉钙化是老年冠心病患者的常见难题,重度钙化病变的介入治疗曾是临床“禁区”。旋磨术通过物理磨削打破钙化屏障,冲击波球囊则利用声波能量实现钙化斑块的高效碎裂,两者联合可显著提高手术成功率,减少血管损伤风险。该病例的成功实施,为高龄、高危冠心病患者带来了更安全有效的治疗选择。
来源 丰台区融媒体中心
丰台时报
编辑 原梓峰
审核 肖园