红枣养生,暗藏“杀机”:一枚枣核引发的老年健康危机
2025-11-13 11:37 来源:  北京号
关注

古往今来,“日食三枣,长生不老”的养生观念深植于中国人的血脉中。红枣,这枚色泽红润、味道甘甜的果实,因富含维生素、矿物质及膳食纤维,被赋予了补中益气、养血安神的美好寓意。它频繁出现在老年人的餐桌上,或于小米粥中翻滚,或于汤羹里沉浮,是代代相传的温补象征。然而,在温和的养生光环之下,却隐藏着一把锋利的“隐形匕首”——枣核。每年,尤其是在秋冬进补季节,全国各地的医院急诊科都会上演一幕幕惊心动魄的抢救剧,主角正是误吞枣核的老年患者。一枚长度不过2-3厘米,两头尖尖的枣核,何以能“刺穿”消化道,将一位安享晚年的老人推向手术台的边缘?本文将深入剖析这一看似偶然、实则蕴含必然风险的老年健康危机,为您揭开一枚小枣核背后的医学真相,并提供至关重要的防范指南。

一、惊心案例:两位老人的惊魂时刻

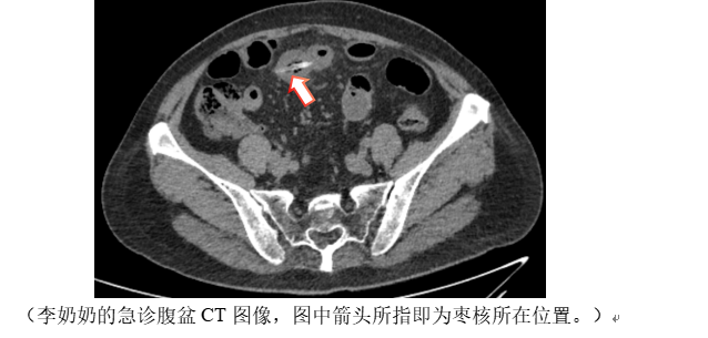
2023年冬天,笔者夜班时遇到因腹痛就诊于急诊的70岁李奶奶,在她的腹盆CT中,找到一枚卡顿于回肠的尖锐异物,此时异物已刺穿肠壁,形成直径约0.5厘米的破口,并且因肠道内容物的渗漏而引发了腹膜炎,若再晚几小时,不排除因感染加重而产生更为严重的后果。外科医生经腹腔镜手术取出枣核并修补肠道,老人家才转危为安。

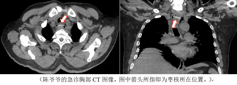
2024年1月,天气依然寒冷,笔者又遇到一位因体温持续升高不降而就诊于发热门诊的75岁陈爷爷,时值呼吸道疾病的高发季节,内科医生以评判是否存在肺部炎症为陈爷爷开具了胸部CT。CT图像中陈爷爷的双肺并没有看到活动性的炎症,但是在食管上段却发现一枚横行条状异物已刺穿食管壁,导致食管管壁增厚水肿,并引发纵隔感染。追溯病史,陈爷爷的子女回忆起家里近几日确实做过含红枣的食物。情况危急,经过内外科的协同治疗,陈爷爷的病情才得到控制。

尽管两位老人都得到了及时的救治,但这场突如其来的急症,给他们本就衰老的身体带来了巨大的创伤——手术的打击、漫长的恢复期以及未来的健康隐患……

在消化内科和胃肠外科医生的临床记录中,这样的“枣核事件”档案厚厚一叠。有的枣核卡在食道,需胃镜取出;有的嵌顿在肛门,导致肛周脓肿;最凶险的是悄无声息地刺穿肠道,犹如一颗“定时炸弹”,一旦引爆,便是危及生命的腹膜炎和败血症。

二、枣核的物理特性:被忽视的“肠道利刃”​​

枣核的“致命结构”——红枣核呈纺锤形,质地坚硬、两端异常尖锐,即使经过咀嚼、胃酸腐蚀,也难以被完全分解。当它随着食物被误吞后,在消化道的“旅程”中,不像柔软的米粒或熟烂的菜叶,而更像一枚被吞下的“飞镖”或“图钉”。整个消化过程,就是一场险象环生的“闯关游戏”:

第一关:食道。食道有三个生理性狭窄,枣核极易卡顿于此,刺破食道壁;

第二关:胃。胃腔空间较大,枣核可能暂时“潜伏”,但胃的强力蠕动可能使其尖角划伤胃黏膜;

第三关:肠道。这是最常发生穿孔的部位。人体肠道内壁柔软,尤其是小肠,肠壁厚度通常小于3毫米,血管丰富但肌肉层较薄。枣核在此处前进,其尖端会与肠壁产生持续摩擦和挤压。若枣核横向卡在肠道狭窄处(如回盲部、结肠拐角处),肠道蠕动产生的压力会集中在枣核尖端,如同用锥子扎气球一般,逐渐突破肠壁的防御,造成穿孔。​

消化道一旦穿孔,腔内的食物残渣、细菌会立即进入纵隔、腹腔或盆腔,引发周围感染,乃至急性腹膜炎——这是一种严重的感染性疾病,若不及时治疗,细菌会在腹腔内大量繁殖,产生毒素进入血液,导致感染性休克,死亡率极高。​

三、老年人:为何成为高危人群?​

枣核致肠道损伤并非老年人专属,但老年人的发病率却远高于其他人群,这与他们的生理特点、饮食习惯密切相关,主要存在以下五大高危因素:​

1.咀嚼功能下降,枣核易“漏网”​

随着年龄增长,老年人的牙齿会出现松动、脱落,咀嚼肌力量减弱,唾液分泌减少,导致咀嚼效率大幅降低。很多老年人吃红枣时,无法将枣核与果肉完全分离,甚至会不自觉地将枣核“囫囵吞下”。尤其是佩戴假牙的老年人,假牙的咀嚼精度不足,更难感知枣核的存在,容易让枣核“悄无声息”地进入消化道。​

2.消化功能减弱,枣核停留时间延长​

老年人的胃酸分泌量仅为年轻人的1/2-1/3,消化酶活性也显著降低,对食物的分解能力下降。枣核进入胃部后,难以被胃酸腐蚀软化,会以坚硬的状态进入肠道。同时,老年人的肠道蠕动速度减慢,肠道排空时间延长(年轻人肠道排空需12-24小时,老年人可能长达36小时以上),这让枣核在肠道内停留的时间更长,与肠壁摩擦、挤压的机会增多,穿孔风险自然大幅上升。​

3.感知能力迟钝,早期症状易被忽视​

老年人的痛觉、触觉等感知能力会随着年龄增长而减退,对身体的异常信号不敏感。有些老年人在枣核穿肠的初期,可能仅感到轻微腹痛,他们会误以为是“消化不良便秘”而忽视。加之不愿给子女添麻烦的心理,常常到剧痛难忍、出现发烧等全身症状时才就医,极大地延误了最佳治疗时机,使得病情变得更加复杂和危重。​

4.基础疾病增加风险​

很多老年人患有慢性疾病,如糖尿病、高血压、动脉粥样硬化等,这些疾病会进一步削弱肠道及机体的抵抗力。例如,高血压、动脉硬化会让肠壁血管弹性变差、血液循环不佳,更容易因枣核的挤压而产生出血;糖尿病则使得伤口的愈合能力下降,引发穿孔后感染的风险增加等。​

此外,长期服用阿司匹林、氯吡格雷等抗血小板药物的老年人,肠道穿孔后出血风险会显著升高,病情会更加凶险。

5.饮食误区:“囫囵吞枣”的养生习惯​

部分老年人认为“吃整颗红枣营养更完整”,或者为了图方便,直接将红枣泡水、煮粥后连核食用,忽视了枣核的风险。还有一些老年人因担心浪费,会将红枣果肉嚼碎后,把枣核也强行吞咽,这种行为无疑是“给肠道递利刃”。

四、临床警示:这些症状,可能是肠道穿孔的信号​

枣核致消化道损伤的潜伏期因人而异,短则数小时,长则3-5天,主要取决于枣核的位置、尖锐程度以及肠道蠕动情况。老年人及其家属需警惕以下症状,一旦出现,立即就医:​

1.早期预警信号​

●吞枣核即刻或短期内引起的颈胸部正中剧烈刺痛、哽咽感及吞咽困难;

●轻微腹痛、腹胀:多为隐痛或胀痛,位置不固定,容易被误认为是消化不良;

●排便异常:腹泻、便秘、大便带血、黏液便(枣核划伤肠壁导致出血、分泌物增多);

●恶心、食欲不振:肠道受到刺激后,消化功能紊乱的表现。​

2.紧急危险信号​

当枣核刺穿肠壁后,会出现以下典型症状,需立即拨打120:​

●剧烈腹痛:突发的、持续性的剧烈腹部绞痛,疼痛部位逐渐固定,按压时疼痛加剧,松手时更痛(医学上称为“反跳痛”);

●高烧不退:体温迅速升至38.5℃以上,伴随寒战、乏力、精神萎靡;​

●腹部僵硬:腹腔内感染引发腹膜炎,腹部会变得像木板一样坚硬(医学上称为“板状腹”),这是非常危险的信号;

●休克前兆:出现头晕、心慌、出冷汗、血压下降、面色苍白,说明感染已影响全身循环,需立即抢救。​

需要特别提醒的是,老年人的症状可能不典型,部分患者可能仅表现为低热、轻微腹痛,容易被误诊为“阑尾炎”、“胃肠炎”,延误治疗。因此,只要老年人近期食用过红枣(尤其是未去核的红枣),出现上述任何症状,都应主动告知医生“可能吞服了枣核”,帮助医生快速明确诊断。​

五、急救与治疗:时间就是生命​

一旦怀疑枣核致消化道损伤,必须争分夺秒就医,治疗的核心是尽快取出枣核、修补穿孔、控制感染。​

1.紧急就医​

患者需立即前往急诊科,医生会通过以下检查明确病情:​

●胸部/腹盆部CT+三维重建:这是最快速、准确的检查方式,能清晰显示枣核的位置、肠道穿孔情况、腹腔内积液和感染范围;​

●血常规:通过检测白细胞计数、中性粒细胞比例,判断感染程度;​

●腹部超声:辅助判断腹腔内是否有积液、脓肿。​

2.治疗方案​

治疗方式取决于穿孔的时间、感染程度以及患者的身体状况:​

●手术治疗:这是绝大多数患者的首选方案。医生会通过腹腔镜或开腹手术,找到穿孔部位,取出枣核,然后修补肠壁破口;若穿孔时间较长、感染严重,可能需要切除受损的肠段,再进行肠吻合。同时,会清理腹腔内的污染物,放置引流管,帮助感染物排出。​

●保守治疗:仅适用于极少数情况——穿孔较小、感染轻微、患者身体状况极差无法耐受手术。医生会通过禁食、静脉输液、强效抗生素抗感染等方式,密切观察病情变化,若病情加重,仍需立即手术。​

无论哪种治疗方式,都存在一定的风险,尤其是老年人,术后可能出现切口感染、肠粘连、肺部感染等并发症。因此,预防远比治疗更重要。​

六、防患于未然:构建老年人安全食枣的“防火墙”​

红枣本身是优质的养生食材,只要掌握正确的食用方法,就能规避风险。老年人及其家属需牢记以下“安全准则”:​

1.去核!去核!去核!(重要的事说三遍)​

这是最核心的预防措施。食用红枣前,务必先将枣核取出,无论是生吃、泡水、煮粥还是煲汤,都要确保“无核食用”。​

2.细嚼慢咽,切勿“囫囵吞枣”​

即使已经去核,老年人吃红枣时也应细嚼慢咽,避免大块果肉堵塞肠道,同时也能减少肠胃的负担。佩戴假牙的老年人,更要放慢咀嚼速度,感知果肉是否完全嚼碎。​

3.控制食用量,避免过量​

红枣虽好,但不能贪多。老年人消化功能减弱,过量食用容易导致腹胀、便秘。建议每天食用3-5颗即可。​

4.特殊人群需谨慎​

●患有严重消化道疾病(如既往溃疡穿孔、肠梗阻或肿瘤)的老年人,应尽量少食红枣,以免刺激胃肠道;​

●长期服用抗血小板、抗凝药物的老年人,食用红枣前必须彻底去核,且要细嚼慢咽,避免任何可能导致肠道损伤的风险;​

●意识不清、吞咽功能障碍的老年人(如中风后遗症患者),若需补充营养,可将去核的红枣打成泥或汁后食用。​

5.家人做好监护与照料​

对于高龄、行动不便或认知能力下降的老年人,家人应提前为其处理好红枣(去核、切碎),并在进食时陪伴在侧,提醒其细嚼慢咽,避免误吞。

七、延伸思考:除了红枣,这些食物也需警惕​

老年人食用带核、带刺、质地坚硬的食物时,都可能面临肠道损伤的风险,除了红枣,还应重点注意以下几类:

1.带核水果​

如荔枝、龙眼、芒果、樱桃、李子等,食用前需彻底去核,尤其是荔枝、龙眼的核较小,容易被忽略,需格外小心。​

2.坚果类​

如核桃、杏仁、花生、瓜子等,老年人食用时需嚼碎,避免整颗吞咽。建议将坚果碾碎后加入粥、米饭中食用,既安全又便于消化。​

3.其他坚硬食物​

如鱼刺、骨头(尤其是鸡骨、鱼骨)、未煮烂的豆类、玉米、芹菜杆等,食用时需仔细咀嚼,确保没有坚硬的残渣进入消化道。​

结语:养生不冒险,安全是前提​

红枣本为养生物,疏忽大意酿悲剧。对于身体机能逐渐衰退的老年群体,我们给予的关爱不应止于营养的供给,更应体现在对每一处安全细节的洞察与守护上。让“烹枣先去核”成为每个家庭厨房里一条不容置疑的安全准则,让科学的养生观念取代侥幸的心理。这枚小小的枣核,警示我们:真正的健康之道,在于对风险的清醒认知和细致入微的预防。​

愿每一位老人都能安享美味与健康,远离无妄之灾。

本文作者:首都医科大学附属北京天坛医院放射科 蒙茗


作者:

薛华丹团队

打开APP阅读全文
特别声明:本文为北京日报新媒体平台“北京号”作者上传并发布,仅代表作者观点,北京日报仅提供信息发布平台。未经许可,不得转载。
APP内打开