精准介入、微创保肺|医院呼吸与危重症医学科采用微创介入技术成功救治复杂肺真菌病患者
2025-12-16 15:25 来源:  北京号
关注

近日,清华大学附属垂杨柳医院呼吸与危重症医学科成功救治一例侵袭性肺曲霉菌病伴复杂支气管闭塞的年轻女性。通过精准微创的分阶段气道介入局部治疗与全身抗真菌治疗相结合,患者病情稳定好转,避免了右侧全肺切除,顺利康复出院。

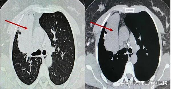
患者为36岁女性,既往有肺结核病史,近两年反复出现低热、咳嗽症状,胸部CT提示右肺上叶大片实变、坏死及多发黏液栓,气管镜显示支气管瘢痕性闭塞,化验提示曲霉菌感染。患者曾接受长期口服抗真菌药物治疗,但病灶未缩小,并出现视神经损害等药物并发症,停药后病情仍反复,右肺出现新发病灶。

▲术前胸部CT

入院后,呼吸与危重症医学科介入团队对患者病情进行全面评估。完善胸部增强CT提示:右肺上叶大片状实变并坏死,支气管完全闭塞。由于前期单纯口服抗真菌药物效果不佳,因此联合气管镜下介入治疗势在必行。经过认真评判,团队制定了详细的气管镜下介入诊疗计划。治疗过程包括:超声支气管镜引导下精准穿刺,高频电刀微创开窗建立引流通道;钳夹清除远端大量坏死组织;局部灌注抗真菌药物以提高病灶药物浓度;结合球囊扩张与超细冷冻冻融治疗,扩大引流窗口;并多次行镜下冲洗,彻底清除分泌物与坏死物。

▲支气管镜下多种内镜器械联合使用

▲呼吸介入团队进行镜下治疗

经过系统治疗,患者低热症状消失,精神状态逐步好转。术后气管镜复查显示右上叶前段闭塞支气管已重新开放,坏死物基本清除;胸部CT显示原新发病灶消失,前段病灶引流通畅,炎症吸收良好,成功保留了右肺功能。

▲引流脓液

该病例的成功救治,体现了医院呼吸与危重症医学科在复杂肺部真菌感染诊治方面的综合能力。科室依托先进的气道介入设备与技术积累,形成“气道介入+局部药物灌注+全身治疗”的整合治疗模式,为药物难以抵达的闭塞性真菌感染病灶提供了微创、有效的治疗路径。未来,科室将继续完善复杂肺真菌病诊疗体系,推动个体化、精准化治疗,为更多患者提供高质量的呼吸系统疾病诊疗服务。


作者:

北京市垂杨柳医院

打开APP阅读全文
特别声明:本文为北京日报新媒体平台“北京号”作者上传并发布,仅代表作者观点,北京日报仅提供信息发布平台。未经许可,不得转载。
APP内打开