首都儿童医学中心普通外科门静脉高压团队成功救治极重度脾功能亢进的门静脉海绵样变患儿
2026-01-26 21:15 来源:  北京号
关注

近日,首都医科大学附属首都儿童医学中心普通外科主任医师张金山接诊了一例特殊的门脉高压患儿。该患儿病史绵长,脾大及脾功能亢进症状极为严重,诊疗过程极具挑战性。

患儿小李今年14岁,却已饱受门脉高压困扰12年。两岁时,他便被查出脾大、血小板降低,尤其在感冒发烧时,症状更为明显。家长曾带其辗转北京、上海多家儿童医院就诊,最终确诊为门静脉海绵样变。因当时未出现上消化道出血症状,医生建议定期随访观察。然而,近两年来,小李的脾功能亢进症状持续加重,血小板计数仅维持在40-50×10⁹/L。家长曾通过网络咨询张金山主任医师,被告知需尽快入院接受手术治疗,但考虑到孩子无出血表现、日常状态尚可,家长暂时搁置了手术建议。

一周前,小李突发呕血,家长随后带小李前往首都儿童医学中心普通外科“门静脉高压及脾脏疾病专病门诊”,寻求张金山的专业诊疗。接诊后,张金山发现,小李虽精神状态尚可,但面色苍白、身形消瘦,体重仅33公斤,明显存在严重贫血及营养不良症状,遂立即将其收入普通外科住院治疗。

入院后血液检查结果显示,小李患有极重度贫血,血红蛋白仅25g/L(正常参考值120g/L以上),已处于休克边缘;血小板计数极度低下,仅16×10⁹/L(正常参考值100-300×10⁹/L)。影像学检查提示,其脾脏异常巨大,边缘已从腹腔左侧延伸至右侧,占据腹腔大部分空间。

情况危急,诊疗团队第一时间联系血库,为小李输注红细胞及血小板,同时开放静脉通路实施止血等紧急救治措施。张金山分析,小李的重度贫血大概率与一周前的呕血相关——尽管家长反复强调“仅呕吐一口血”,但持续隐性失血叠加营养摄入不足,最终导致贫血恶化。

经过输注5个单位红细胞(约1000ml)后,小李的血红蛋白水平升至50g/L;输注1个单位血小板后,血小板计数仅提升至20×10⁹/L。止血治疗1天后复查血常规,血红蛋白再次降至40g/L,血小板计数回落至16×10⁹/L。医护团队再次为其输注2个单位红细胞及1个单位血小板,使其血红蛋白恢复至50g/L,血小板计数升至22×10⁹/L。

多次便常规+潜血检查结果均为阴性,且小李排便性状正常,无血便、黑便等上消化道出血特征性表现。据此,张金山判断,患儿门脉高压性上消化道出血症状已得到控制,当前贫血及血小板减少的核心原因是严重脾大伴脾功能亢进。若继续反复输血,反而可能加重病情,治疗效果适得其反,遂决定调整方案,采取保守治疗,暂停输血。

住院期间,小李完善了超声及增强CT检查,明确诊断为门静脉海绵样变,其脾脏肿大程度在门脉高压患儿中极为罕见,此类巨大脾脏通常多见于血液系统疾病患儿。为排除血液系统疾病,团队联系血液科会诊,结合骨髓穿刺结果及血液病相关血液筛查报告,最终排除血液系统疾病可能,确认脾大、脾亢症状仍由门静脉海绵样变所致门脉高压引起。

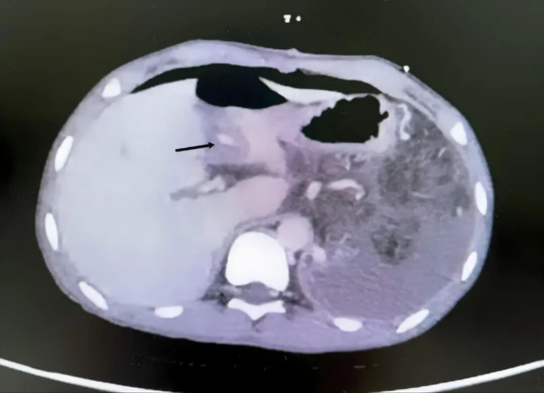
图1 CT显示脾脏显著增大

鉴于小李病情危重,脾脏极度肿大、脾亢症状严重,反复输血无法稳定血液指标,暂不满足Rex手术的安全条件(该手术通常要求血红蛋白≥70g/L、血小板≥40×10⁹/L)。张金山提出创新治疗方案:先实施脾切除术,暂时缓解脾大、脾功能亢进症状,待血液指标恢复后,再行分流手术,既能保障患儿安全,又能从根源上治疗门脉高压疾病。该方案经普通外科全科讨论后,确定为择期手术方案。

需特别说明的是,脾切除术极少用于门静脉海绵样变的治疗,仅在脾大、脾亢症状极度严重,其他手术风险过高时,才作为备选治疗手段。这是因为门静脉海绵样变患儿门静脉入肝血流不畅,易导致门静脉血液在肝外瘀滞,缺乏有效回流通道;脾切除术后,患儿血小板会显著升高,加之术后高凝状态,与门静脉血液瘀滞叠加,极易引发灾难性的门静脉血栓。因此,此类患儿实施脾切除术,不仅术中因血小板低下存在高出血风险,术后门静脉血栓发生率也极高,手术风险极大。

针对上述风险,张金山进一步优化手术方案:术中先实施脾切除术改善血液学指标,即便出现出血或血小板降低,去除脾脏后可通过输血有效纠正;随后采用脾静脉近端转位的Rex手术方式,重建门静脉入肝血流,根治门静脉海绵样变。该方案虽风险高、手术耗时久,但从理论层面具备可行性。张金山将方案与普通外科首席专家李龙沟通后,得到李龙的充分认可。李龙表示,该方案既解决了当前极重度脾大脾亢带来的手术风险,又能就地取材,利用单纯脾切除后会因血栓堵塞而废用的脾静脉,作为肝外门静脉入肝血管,重建门静脉入肝血流,是当前最适合该患儿的治疗方案。

经过一系列充分的术前准备,小李术前血红蛋白水平恢复至70g/L,但血小板计数仍仅为16×10⁹/L。普通外科门脉高压团队在张金山、李龙两位专家的带领下,综合评估后决定按计划实施手术。

手术当日,张金山主任医师率先为小李实施脾切除术。由于患儿脾脏异常巨大,脾肾间交通支丰富,且胰腺内脾静脉分支迂曲扩张明显,大幅增加了手术难度。凭借精湛的手术技艺和丰富的临床经验,张金山成功为患儿完成脾切除术,术后手术创面出血情况得到显著改善。随后,团队在Rex隐窝游离门静脉左支,操作过程与常规门静脉海绵样变患儿一致。接着,张金山与李龙协同操作,将脾静脉从胰腺上游离——门脉高压导致的脾静脉侧丰富,再次提升了手术难度,两位专家耐心细致分离,成功将脾静脉从与肠系膜下静脉汇合处至胰腺尾部完整游离,最终顺利完成血管吻合,Rex手术获得圆满成功。

术后,门脉高压诊疗团队给予精细化管理,两次复查增强CT、一次超声均显示搭桥血管通畅,无门静脉血栓形成,小李的血红蛋白水平稳定在80g/L以上,血小板计数恢复至290×10⁹/L以上。术后第8天,小李已能正常进食、自主下地活动,恢复情况良好,顺利办理出院手续,出院后需继续口服抗凝药物治疗。

图2 术后CT图像显示Rex搭桥血管通畅

此次罕见重度门静脉海绵样变患儿的成功救治,为该疾病的诊疗提供了全新思路与重要启示:其一,单纯以是否出现上消化道出血作为手术治疗的判断标准并不可取,拖延治疗会导致病情恶化,增加后续诊疗难度,对于门静脉海绵样变患儿,应尽早考虑实施Rex手术治疗;其二,以颈内静脉作为搭桥血管的Rex手术并非儿童门静脉海绵样变的唯一治疗方式,临床需结合患儿具体病情,制定个体化诊疗方案,才能达到最佳治疗效果。

文 |龙羿辰

编辑 | 宣传中心 郝洁


作者:

首都儿科研究所官方

打开APP阅读全文
特别声明:本文为北京日报新媒体平台“北京号”作者上传并发布,仅代表作者观点,北京日报仅提供信息发布平台。未经许可,不得转载。
APP内打开