近日,首都医科大学附属首都儿科研究所心血管内科石琳主任团队,成功为两名心源性晕厥患儿实施“血管外植入式心律转复除颤器(EV-ICD)植入术”。此类手术在国内儿童群体中报道较少,公开报道仅5例。此次两例高难度手术的成功完成,标志着首都儿童医学中心在儿童恶性心律失常器械治疗领域再次取得突破,为心源性晕厥或猝死高危风险患儿提供了新的有效救治方案。
病情危重:小小心脏遭遇“致命风暴”
两名患儿均因遗传性心肌病反复发作恶性室速,生命时刻受到威胁。室性心动过速是一种严重的心律失常,可导致心脏有效泵血功能急剧下降,极易恶化为心室颤动,引发猝死。两名患儿尽管接受了规范的药物治疗,但病情仍未能得到有效控制,频繁发作的室速如同在心脏内掀起“致命风暴”,不得不植入心律转复除颤器(EV-ICD)传统的经静脉植入式心律转复除颤器(TV-ICD)可能有血管路径和长期导线相关并发症风险,另一种传统的皮下植入式心律转复除颤器(S-ICD)因体积过大,限制了在儿童中的应用。
技术突破:巧施“血管外”除颤技术
面对患儿危急的病情和有限的治疗选择,术前心内科组织MDT多学科会诊进行了深入细致的评估。团队最终决定为患儿实施EV-ICD植入术。这是一种最尖端的植入式除颤技术。与传统经静脉路径及皮下路径不同,EV-ICD系统将除颤电极导线埋藏于胸骨与心脏之间前纵隔,不进入心血管腔内。技术优势较传统ICD显著:1.完全避免了经静脉植入可能导致的心脏瓣膜损伤、血管穿孔、血管内导线感染等严重并发症;2.保留了完整的静脉通路,为患儿未来可能的其他心脏治疗(如起搏、消融)留有余地;3.更适合处于生长发育期的儿童,减少了因身高增长导致导线张力过高或移位等问题;4.除颤成功率高,耗电量小,除颤器使用寿命更长。

手术当日,在心脏外科、麻醉科的紧密配合下进行,石琳精心安排手术步骤,江河副主任凭借精湛的技术,精准地将除颤电极导线沿胸骨旁皮下隧道放置到预定位置,并在患儿左侧胸壁皮下制作囊袋放置ICD脉冲发生器。整个手术过程顺利,术中测试显示除颤系统感知良好,除颤功能有效,成功为患儿的心脏安装了“体外守护神”。

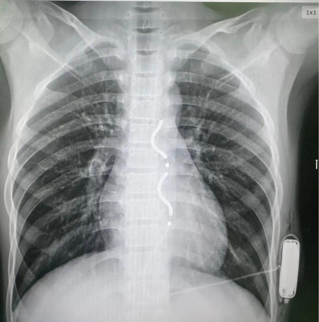
EV-ICD影像
重获“心”生:术后恢复良好,守护长期安全
术后,两名患儿恢复平稳,未出现相关并发症,EV-ICD工作正常,按预设程序时刻监测心脏节律,一旦再次发生危及生命的室性心动过速或心室颤动,系统能在数秒内识别并自动释放电击进行转复,有效预防猝死。患儿及其家属终于摆脱了长期笼罩的猝死阴影,身心健康及生活质量得到了明显改善。
专家解读:为特定患儿提供更优选择
EV-ICD是预防心脏性猝死领域的一项重要进展。对于不适合或不愿意经静脉或皮下植入ICD、高感染风险、静脉通路异常以及像这样需要长期管理的遗传性离子通道病患儿,EV-ICD提供了更安全、可靠的选择。此次两例手术的成功,不仅挽救了患儿的生命,也证明了首都儿童医学中心在应用前沿技术解决儿童复杂心血管重症方面的强大实力。
未来,心血管内科将与多学科协作,继续探索和优化心律失常的诊疗方案,致力于用最先进、最适宜的技术,为更多患儿的心脏健康提供精准医疗。
文 | 石琳、王宏茂
摄 | 刘杨
编辑 | 宣传中心 郝洁