【杨柳探营】多学科协作辨真凶,食管占位原是真菌感染
2026-03-09 13:41 来源:  北京号
关注

近日,清华大学附属垂杨柳医院胸外科接诊了一位因进食哽咽感就诊的患者,经多学科联合诊疗,最终确诊为曲霉菌感染而非食管癌,使患者获得精准治疗,避免了不必要的创伤性手术。

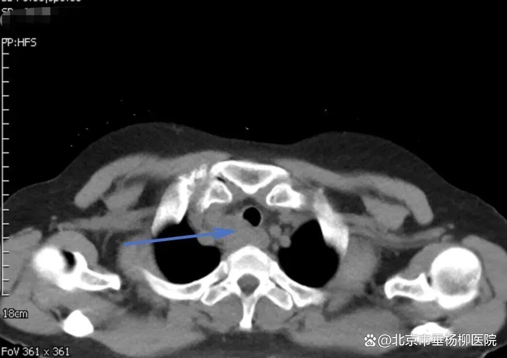
62岁的郑女士近一月来进食时总有食物下咽不畅感,伴有明显哽咽。当地医院胸部增强CT提示食管上段有一约3.7×2.6CM占位性病变,影像报告“不除外食管癌,且可能累及气管后壁”。随后的PET-CT更显示该病灶糖代谢异常增高,代谢活性值高达14.4,强烈指向恶性肿瘤可能。这一系列检查结果让患者及家人陷入焦虑与恐惧。

▲治疗前胸部CT

然而,当通过胃镜直视食管内部时,发现占位隆起更像来自外部压迫,表面光滑。超声胃镜进一步揭示病灶位于食管外,是与食管、气管紧密相邻的不规则低回声区。虽然仍不能排除恶性肿瘤的可能,但病灶位置为诊断带来新的思考。

面对这一潜藏在食管与气管之间的“潜伏者”,胸外科团队决定采用超声引导下经支气管镜针吸活检术(EBUS-TBNA)。这项技术如同给支气管镜装上“透视眼”和“精准手”,可在实时超声引导下对纵隔占位进行安全准确的穿刺。手术顺利,成功获取病灶组织。

经过胸外科团队的成功采样,医院病理科专家当晚即对穿刺标本进行分析,镜下可见真菌菌丝,形态符合曲霉菌感染,未见恶性肿瘤细胞。“不是癌,是感染!”这个结果让所有人松了一口气。医疗团队随即为患者制定抗真菌治疗方案,经系统治疗后,患者吞咽哽咽感明显缓解,复查影像显示病灶显著缩小。

▲治疗后一个月胸部CT

从影像学高度怀疑恶性肿瘤,到最终明确诊断为曲霉菌感染,这一诊疗过程充分体现了现代精准医疗的价值。通过EBUS-TBNA这一微创技术,患者避免了不必要的创伤性大手术和放化疗。而这场“抽丝剥茧”的背后,是医院放射科、微创中心(第二手术区)、病理科、胸外科等多学科团队紧密协作、高效沟通的结果,彰显了医院在复杂疾病诊疗中的综合实力。

这场由“吃饭问题”引发的诊疗风波,最终以精准诊断和有效治疗画上圆满句号。它警示我们,复杂疾病的诊断需要严谨的流程和先进的技术,也彰显了医院多学科团队在面对疑难病例时,以患者为中心、勇于探究、精准施治的专业精神与综合实力。

科普时间

1.认识纵隔曲霉菌病:

曲霉菌是一种广泛存在于环境中的真菌,免疫功能正常或低下的个体均可能感染。当它侵袭纵隔胸腔中部,包含心脏、大血管、气管、食管等重要结构的区域时,可形成肉芽肿性或坏死性病灶,在影像学上极易与肺癌、淋巴瘤等恶性肿瘤混淆。EBUS-TBNA等微创活检技术是鉴别诊断的“金标准”之一。

2.纵隔曲霉菌感染怎么治?

治疗原则为“强效、足疗程的抗真菌治疗”,并“积极处理并发症”。国外权威学会指南推荐使用伏立康唑作为侵袭性曲霉病的主要治疗用药,替代治疗用药包括两性霉素B脂质体、艾沙康唑。侵袭性曲霉病的治疗疗程一般至少6-12周,治疗时间很大程度上取决于免疫抑制程度及持续时间、病灶部位和病情改善的证据[1,2]。

参考文献

[1] 王双双,胡小平,于波. 侵袭性曲霉病治疗进展[J]. 中国麻风皮肤病杂志,2021,37(8):543-548.

[2] Patterson TF, et al. Practice Guidelines for the Diagnosis and Management of Aspergillosis: 2016 Update by the IDSA. Clin Infect Dis. 2016.

本文仅限于公益科普及学术交流,如有不适请及时就医,文中治疗方案仅限本病例。文中部分资料来源网络及文献,侵删。】


作者:

北京市垂杨柳医院

打开APP阅读全文
特别声明:本文为北京日报新媒体平台“北京号”作者上传并发布,仅代表作者观点,北京日报仅提供信息发布平台。未经许可,不得转载。
APP内打开