【杨柳科普】影响尿毒症患者“心事”的“水”危机
2026-03-25 12:20 来源:  北京号
关注

对于肾病患者来说,每日都需要直面那些由“水”引发的生死瞬间。其中,尿毒症患者更需要慎重对待“水”这个“既要有又要少”的伙伴。在临床上,医生们时常能看到一些老病号,只因逢年过节多喝了几口汤、多吃了两口酒,体重增长远超体重,心脏不堪重负而引发急性心力衰竭等急危重症。而在日常诊疗中,有一种比“心衰”更让人脊背发凉的情况正在悄悄影响尿毒症患者,这就是“心包填塞”。

心包填塞”是心包积液的进阶版,是一个容易被忽视却非常凶险的并发症。那么尿毒症心包积液是如何发生和发展的呢,简单来说,心包就是心脏穿的一件外套,包裹着心脏的双层薄膜。正常情况下,这两层膜之间有少量液体起润滑作用。但当积液量异常增多时,这件“外套”就会反过来紧紧勒住心脏。

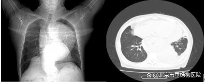
图表1一位长期透析不充分的女性患者
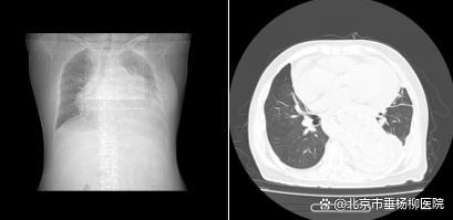
图表2 一位尚未透析的终末期肾脏病患者

一、那么,对于尿毒症患者来说,这件“外套”里为什么会积满水呢?主要有以下几个原因:

原因一:尿毒症毒素的“化学攻击”。

尿毒症毒素会让心包的毛细血管壁变得“千疮百孔”,另外还有尿毒症相关心肌病等问题,毛细血管通透性增加,导致血管里的液体和蛋白质渗出来,堆积在心包腔里。这就像在心脏周围倒了一杯“毒水”,引发了无菌性炎症。

原因二:嘴喝的“债”,心脏来还。

如果水分的摄入(喝水、喝汤、吃水果)没有得到严格控制,多余的水分就会滞留在体内。这部分水不仅会导致腿肿、脚肿、血压高,还会寻找各种缝隙钻进去,会渗到组织间隙,同样也会漏到心包腔里,形成积液。

原因三:营养不良的“连锁反应”。

尿毒症患者各种原因容易出现低蛋白血症。血液中的蛋白质就像“海绵”,能把水分牢牢吸附在血管里。一旦蛋白质减少,“海绵”吸水的功能就下降了,血管里的水分就会跑到血管外,心包就是其中一个“落脚点”。

原因四:透析过程中的“动荡期”。

也就是我们常说的“围透析期”,通常发生在刚开始透析,或者透析不充分的患者身上透析不充分,我们图中第二例患者就是一位未及时开始透析的终末期透析患者。如果透析次数不够、时间不足,毒素清除得不够理想,依然会持续刺激心包。

这个“心包积液”有多危险?少量的心包积液可能只有胸闷的感觉。但一旦积液量增长过快或过多,就会压迫心脏,导致心包填塞。此时,心脏像一个被捏住的气球,无法容纳血液,也无法把血液泵出去。患者会突然出现呼吸困难、血压下降、颈静脉怒张、甚至休克,这是需要争分夺秒抢救的危急情况。

二、我们如何应对呢?

1.强化透析:这是治疗的根本。通过增加透析频率或延长透析时间,彻底清除体内的毒素。必要时可采用血液滤过或灌流等方式,清除中大分子毒素。

2.严格控制水盐:遵从医嘱,严格限制饮水和钠盐摄入,避免液体负荷过重。每天记录体重变化,确保透析间期体重增长不超过干体重的3%-5%。

3.加强营养支持:在保证低盐、低钾、低磷饮食的前提下,适当补充优质蛋白,纠正低蛋白血症。

4.定期超声检查:心脏彩超是发现心包积液最简单有效的方法。建议定期检查,尤其是出现胸闷、气短时,要及时就医。

尿毒症患者的心包积液,它就像是埋在心脏旁边的一颗“不定时炸弹”。只有通过充分透析、严格控水、加强营养和密切监测,才能拆除这颗炸弹,保护好生命的“发动机”。

参考文献:

1:吕家高, 倪黎, 汪道文. 115例心包积液患者病因及误诊分析[J]. 临床内科杂志, 2006, 23(3): 191-192.

2:尿毒症性心包炎[DB/OL]. 广汉市人民医院疾病百科, 2023

3:慢性肾衰合并心包积液39例分析[J].中国冶金工业医学杂志, 2004,(6).

4:Alpert MA,RavenscraftMD. Pericardial involvement in end-stage renal disease[J]. Am J Med Sci, 2003, 325(4): 228-236. -8

【本文仅限于公益科普及学术交流,如有不适建议及时线下就医,部分资料来源网络,侵删】


作者:

北京市垂杨柳医院

打开APP阅读全文
特别声明:本文为北京日报新媒体平台“北京号”作者上传并发布,仅代表作者观点,北京日报仅提供信息发布平台。未经许可,不得转载。
APP内打开